Casos clínicos
Logo Experiencias Clínicas SITT
Logo Experiencias Clínicas SITT

Pruebas previas

RX tórax: sin hallazgos relevantes

Espirometría obstructiva con PBD+

FeNO: 67 ppb

Eosinófilos máximos: 0,48 x103/uL

IgE: 79 KU/l

Logo Gebro Pharma
Logo Experiencias Clínicas SITT

Espirometría 2

En Neumología se realiza una espirometría con prueba broncodilatadora, que demuestra una obstrucción ventilatoria con FEV1 del 63% y prueba broncodilatadora positiva mejorando un 25% y 600 ml el FEV1.

ACT 14

FeNO: 58 ppb

Gráficas y datos espirometría 2 caso escalones
Logo Gebro Pharma
Logo Experiencias Clínicas SITT

Espirometría 3

Exploraciones

ACT 23

FeNO: 20 ppb

Gráficas y datos espirometría 3 caso escalones
Logo Gebro Pharma
Logo Experiencias Clínicas SITT

Espirometría 4

Exploraciones

Mejoría clínica y funcional cumpliendo correctamente el tratamiento.

ACT 24

FeNO: 18 ppb

Gráficas y datos espirometría 4 caso escalones
Logo Gebro Pharma
Logo Experiencias Clínicas SITT

Espirometría

  • La paciente refiere una disnea grado 2 en la escala de disnea modificada del Medical Research Council (mMRC).
  • En Neumología se realiza una espirometría con prueba broncodilatadora, que demuestra una obstrucción ventilatoria con FEV1 del 55 % y prueba broncodilatadora con incremento del FEV1 de un 8 % (FEV1 posBD 60%).
Gráficas y datos espirometría 1 caso agudizaciones.
Logo Gebro Pharma
Logo Experiencias Clínicas SITT

Exploraciones

Exploraciones que se solicitan y su resultado:

Pruebas Resultados
FeNO 90 ppb (muy elevado)
Prick cutáneo negativo para neumoalérgenos
Hemograma Eosinófilos 800 cél./mL (analíticas históricas 400-500 cél./mL)
Ig E total: - 223 U/L
Logo Gebro Pharma
Logo Experiencias Clínicas SITT

Espirometría 2

Exploraciones actuales

  • FeNO: 31 ppb (previo 90 ppb)
  • Espirometría posBD: (FEV1 previo 1,25 l)
Gráficas y datos espirometría 2 caso agudizaciones.
Logo Gebro Pharma
Logo Experiencias Clínicas SITT

ACT

Exploraciones actuales

Cuestionario de control del asma (ACTTM) [Internet]. Asthma Control Test; 2021. Disponible en: www.asthmacontroltest.com

Cuestionario de control del asma
Logo Gebro Pharma
Logo Experiencias Clínicas SITT

TAI

Exploraciones actuales

Test de Adhesión a los Inhaladores [Internet]. Taitest.com; 2023. Disponible en: www.taitest.com

Test de Adhesión a los Inhaladores
Logo Gebro Pharma
Logo Experiencias Clínicas SITT

AIRQ

Exploraciones actuales

Cuestionario de deterioro y riesgo de asma (AIRQ)® [Internet]. AIRQ; 2023. Disponible en: www.airqscore.com

Test de Adhesión a los Inhaladores
Logo Gebro Pharma
Logo Experiencias Clínicas SITT

ACT 2

Exploraciones actuales

Cuestionario de control del asma (ACTTM) [Internet]. Asthma Control Test; 2021. Disponible en: www.asthmacontroltest.com

Cuestionario de control del asma
Logo Gebro Pharma
Logo Experiencias Clínicas SITT

TAI 2

Exploraciones actuales

Test de Adhesión a los Inhaladores [Internet]. Taitest.com; 2023. Disponible en: www.taitest.com

Test de Adhesión a los Inhaladores
Logo Gebro Pharma
Logo Experiencias Clínicas SITT

AIRQ 2

Exploraciones actuales

Cuestionario de deterioro y riesgo de asma (AIRQ)® [Internet]. AIRQ; 2023. Disponible en: www.airqscore.com

Test de Adhesión a los Inhaladores
Logo Gebro Pharma
Logo Experiencias Clínicas SITT

Espirometría 3

FeNO: 23 ppb

Espirometría: FEV1 posBD 1,95 (74 %)

Logo Gebro Pharma
Logo Experiencias Clínicas SITT

Espirometría

Exploraciones

Se realiza una espirometría forzada (2014).

Resultados de la curva Flujo/Volumen
Logo Gebro Pharma
Logo Experiencias Clínicas SITT

FeNo

Exploraciones

FeNO: 98 ppb

Se solicita TCAR torácica + analítica con IgE + Prick cutáneo

Logo Gebro Pharma
Logo Experiencias Clínicas SITT

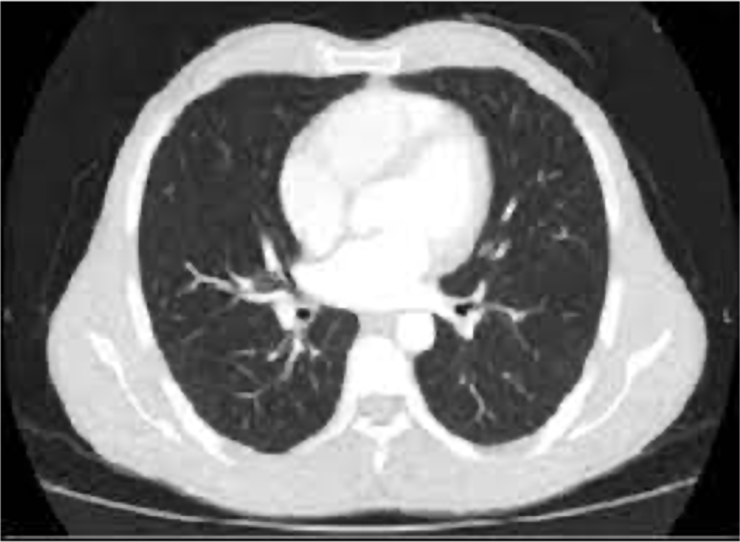
TACR

Exploraciones complementarias

Solicitamos nueva evaluación del paciente, realizando varias exploraciones complementarias.

TCAR frontal
TCAR desde arriba
Logo Gebro Pharma
Logo Experiencias Clínicas SITT

Análisis

Exploraciones complementarias

Pruebas cutáneas (Prick tests): positivo para gramíneas

IgE: 96

Eosinófilos: 1100 células/mm3

Datos de las pruebas de esosinófilos
Logo Gebro Pharma
Logo Experiencias Clínicas SITT

FeNo 2

Resultados de la curva Flujo/Volumen 2
Logo Gebro Pharma
Logo Experiencias Clínicas SITT

FeNo 3

Tras la instauración del nuevo tratamiento inhalado, el paciente ha recuperado la adherencia y realiza un cumplimiento perfecto.

Ha mejorado todavía más su función pulmonar.

FeNO: 82

Resultados de la curva Flujo/Volumen 3
Logo Gebro Pharma
Logo Experiencias Clínicas SITT

Espirometría PREBD

Espirometría PREBD
Logo Gebro Pharma
Logo Experiencias Clínicas SITT

Espirometría POSBD

Espirometría POSBD

FeNO: 52 ppb

Logo Gebro Pharma
Logo Experiencias Clínicas SITT

Cuestionarios ACT, AIRQ, TAI

  • ACT: 15 puntos
  • AirQ: 3 puntos
  • TAI: 45; errático, deliberado, inconsciente
Logo Gebro Pharma
Logo Experiencias Clínicas SITT

Espirometría 3

Espirometría 3

FeNO: 16 ppb

Logo Gebro Pharma
Logo Experiencias Clínicas SITT

Cuestionarios ACT, AIRQ, TAI

  • ACT: 20
  • AirQ: 1
  • TAI: 52
Logo Gebro Pharma
Logo Experiencias Clínicas SITT

Pruebas Complementarias previas (febrero 2024)

  • Gasometría arterial: pH 7,36, p02 69 milímetros de mercurio (mmHg), pCO2 39 mmHg y saturación de oxígeno (SatO2) 93%.
  • Pruebas funcionales respiratorias completas con su tratamiento pautado (prueba posbroncodilatadora (PBD)): FVC 2420 (91%), FEV1 1260 (65%), FEV1/FVC 52%, MMEF 290, PEF 4030 (78%). DLCO 4170 (65%), KCO 1110 (71%). RV 4100 (238%), TLC 6110 (148%) y RV/TLC 166%.
  • 350 eosinófilos en sangre periférica por mililitro (ml).
  • Estudio alergológico normal.
Logo Gebro Pharma
Logo Experiencias Clínicas SITT

Espirometría 2

Espirometría con su tratamiento habitual y PBD

FEV1 1280 (63%), FVC 2100 (76%), FEV1/FVC 61%, MMEF 75/25 560 (21%), PEF 4300 (82%).

Logo Gebro Pharma
Logo Experiencias Clínicas SITT

Otras pruebas complementarias 2

  • Analítica: 4,5% - 400 eosinófilos (Eos) por mililitro.
  • Test de los 6 minutos (T6MM): camina 459 metros, sin desaturación.
  • Tomografía Computarizada de Alta Resolución (TCAR): discreto enfisema paraseptal apical bilateral.
  • Asthma Control Test (ACT): 16 puntos.
  • COPD Assessment Test (CAT): 11 puntos.
  • Índice BODE: 2 puntos.
  • Buen cumplimiento del tratamiento recogida mensual de recetas en sistema electrónico y 54 puntos en test de adhesión a los inhaladores (TAI).
Logo Gebro Pharma
Logo Experiencias Clínicas SITT

Espirometría 3

Espirometría PBD tras cambio de tratamiento

FEV1 1480 (74%), FVC 2050 (75%), FEV1/FVC 72%, MMEF 75/25 410 (15%), PEF 4020 (77%).

Marcada mejoría

Logo Gebro Pharma
Logo Experiencias Clínicas SITT

Otras pruebas complementarias 3

  • Asthma Control Test (ACT): 25 puntos.
  • COPD Assessment Test (CAT): 4 puntos.
  • Buen cumplimiento del tratamiento recogida mensual de recetas en sistema electrónico y 54 puntos en test de adhesión a los inhaladores (TAI).
Logo Gebro Pharma
Logo Gebro Pharma